Cabinet d'Orthodontie du Dr RAY
Orthodontiste Spécialiste qualifié à FROUARD
Accueil
Le cabinet
Plan d'accès
Urgences
Fiches Conseils
Questionnaire pré-RDV
Prendre RDV
Cabinet d'Orthodontie du Dr RAY
Orthodontiste Spécialiste qualifié à FROUARD
125 rue de Metz
54390
FROUARD
+33 3 83 49 06 18
Accueil
Le cabinet
Plan d'accès
Urgences
Fiches Conseils
Questionnaire pré-RDV
Prendre RDV
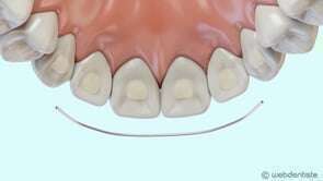
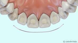
Fil de contention
Vidéos 3D
Partager
Twitter
Partager
Partager
Envoyer
Copier
Cabinet d'Orthodontie du Dr RAY
125 rue de Metz
54390
FROUARD
+33 3 83 49 06 18
Politique de confidentialité et charte cookie
Mentions légales
Conditions Générales Utilisation
Charte déontologique
Ordre national
Annuaires chirurgiens dentistes
Lundi
8h30 - 12h
,
14h - 19h30
Mardi
14h - 19h30
Mercredi
8h - 11h30
,
14h - 19h30
Jeudi
9h - 12h
,
14h - 19h30
Vendredi
Fermé
Samedi
8h - 14h30
Dimanche
Fermé
Rechercher dans le blog Blog
Création par
Connexion
Vidéo en cours de lecture